骨折和骨裂区别在哪哪个更严重都要手术吗专家教你3点区分
骨折和骨裂究竟有何区别?一文教你来区分
医生您好,今年九月中旬摔倒,把右脚踝的腓骨末端给弄骨裂了,骨_骨折
骨折骨裂图片
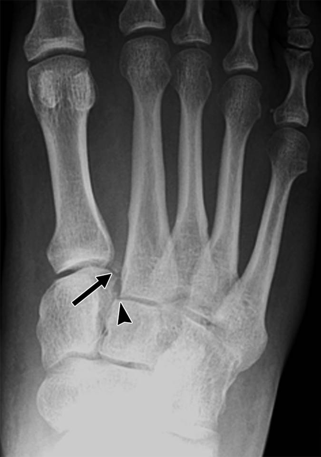
第五跖骨基底部裂纹骨折忧伤记录
陈旧性腕舟骨骨折的治疗与进展_张凯
的骨质疏松现象,还会导致溶骨性被破坏,就会使患者出现病理性的骨折
这个属于骨裂还是骨折,不打石膏可以吗
左脚踝骨折,骨裂,手术上钢板
小腿骨小腿骨折的采集图像及钢板内固定手术治疗. 折断胫骨和腓骨照片
江河万古流(《九州方圆》主题歌) 歌谱简谱网
刘若英 后来 吉他谱 c调指法c调六线pdf谱吉他谱-虫虫吉他谱免费下载
电子琴歌谱【红星闪闪 竹岗编配版 弹唱谱]】五线谱
八字励志名言短句霸气 导读:励志名言八字励志名言短句霸气 1,一分
左滑帮忙给小哪吒上色呀.#封神榜 #哪吒 #画画 #手绘 - 抖音
吴彦祖怼脸自拍曝光头发已稀疏,曾经的"颜值天花板"变油腻_女儿
中国艺术家写实油画人物太美了
coco酱猪猪表情包抢红包系列恭喜发财红包拿来谢谢老板
一吃凉的就拉肚子是怎么回事
龟甲冬青球2
常用 键盘上各个功能键的用途