骨折和骨裂区别在哪哪个更严重都要手术吗专家教你3点区分
"骨裂"跟"骨折"一样么?听听骨科专家怎么说!
骨折拍x光片 5 2008-08-27 骨折x光片 1 2011-11-01 我右手骨裂,从
医生说骨折邻居说骨裂愁死急死,静养好久了.动不了难受啊!想着 - 抖音
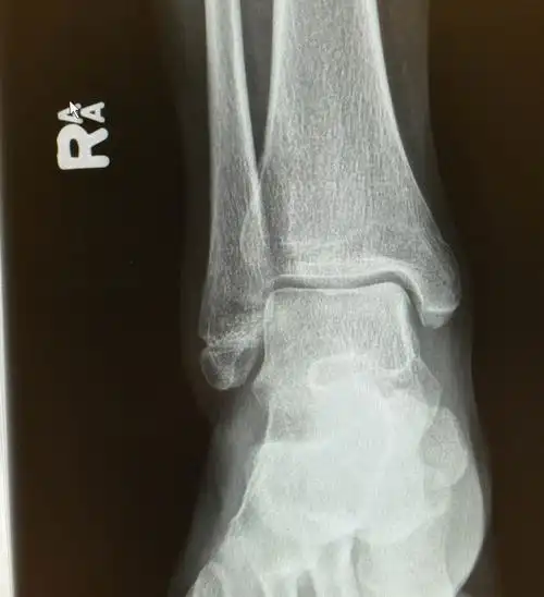
医生您好,今年九月中旬摔倒,把右脚踝的腓骨末端给弄骨裂了,骨_骨折
骨折骨裂图片
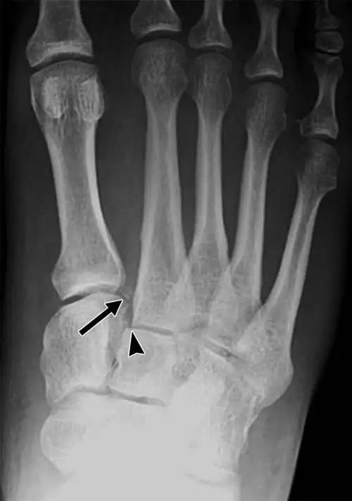
第五跖骨基底部裂纹骨折忧伤记录
陈旧性腕舟骨骨折的治疗与进展_张凯
交通事故骨折的辨别:①尺桡骨骨折(珍藏版)
这个属于骨裂还是骨折,不打石膏可以吗
左脚踝骨折,骨裂,手术上钢板
创意眼睛
《认错》吉他谱六线谱c调_许嵩
盘点中国最美的20个风景,去过5个不简单,去过9个就太幸福了
【生】badboyhalo声音秀_我的世界
九天玄女八卦[3]印 道教法器印章 道士道法木质用品 5公分单面印
"黄金男配"刘学义,和这4位女星谁更有cp感?
新年春节拿着钹的卡通男孩中国传统乐器9944448矢量图片免抠素材 人物
陈好的妩媚娇俏难以复刻
大哥快递表情包 - 大哥快递微信表情包 - 大哥快递qq表情包 - 发表情
红衣的肖战和白衣王一博这张剧照一直是忘羡女孩嗑的津津有味的一颗糖
古风 美图
薜荔果怎么做凉粉 功效与作用有哪些