相关图片
随机推荐
侠盗猎车手圣安地列斯载入游戏壁纸
8090后的农村童年零食水果,美好的回忆,有多少人还记得这叫 - 抖音
少林内劲一指禅,一字桩上海行
贺涵&罗子君:那些吃"窝边草"的爱情,最后都怎么样了?
他手上纹了一个花臂,胸前也有纹身,可见退圈后的蒋劲夫算是彻底放飞
="1454">牙齿 /a>性 a target="_blank" href="/item/龅牙/10718532"
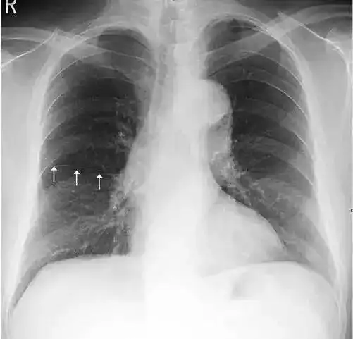
影像解剖入门正常胸片怎么看
某某——望_某某盛望q版绘画作品
陈坤为母亲庆生发博:祝我的绿度母生日快乐!
小女孩考级连体演出服黑色芭蕾少儿幼儿童舞蹈服装女童练功春夏演
听乔如何果断拿下小妇人的版权
蓝色天空唯美风景图片高清壁纸