正常女性胸片 乳房影
胸片可见: 1. 右心缘:上段为上腔静脉,下段为右心房右缘; 2.
x线正常胸片 - 抖音
正常乳头影
影像解剖入门正常胸片怎么看
正常胸片胸部ct阅读
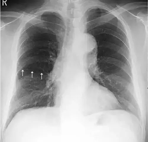
女性,24岁 轻微咳嗽3天
健康女人胸部 x 射线图像
天天师兄的个人展示页
正常的胸部x光片
肺野的划分在正常时,下肺野纹理比上肺野多而粗,而右下肺野肺纹理比左
踏山河(d调笛子全按作2)
喜性孤冷男生头像真人版帅气高冷霸气个性
回顾佟大为:爱妻子爱子女,照顾植物人父亲,20年后苏醒|关悦|陆涛
92宝宝肠胀气的症状.
大悲咒手印
快逃表情包练习
荣宝斋洛阳分店举办"十分春色——当代书画名家画牡丹精品展"
300_250gif 动态图 动图
1,玛丽亚凯丽(玛丽亚凯莉是什么级别的歌手)
北京同仁堂蒲公英散i结节茶蒲公英散栀子结茶消节通消除肺百合乳茯腺
墙面体感互动攀岩游戏儿童乐园
龟头炎症状图片对照大全