一个年轻女子走在夜晚的城市里
黑夜过后的光芒有多美
晚上城市雨天伞女孩的剪影背影唯美电脑壁纸
站在屋顶俯瞰城市夜景呼喊的女性全身背影
背影城市高楼大厦夜景夜晚走在天桥上眺望的美女背影女生背影高楼大厦
人物背影情感爱情励志伤感孤独城市夜晚街道唯美拍街景短视频素材
这是一张背影人像,由于无法表现人物的面部,更侧重于表现一种特定的
背影
2018年我去过的那些城市看过最美的风景
晚上路灯下女生唯美背影
一个长发女孩的背影,他正望着灯火辉煌的城市
相反而走的背影图片
儿童画
能辨真伪,察善恶的三眼纠察天君:王灵官
御美道养生馆装修效果图
第二期狗狗头像来啦喜欢的关注一下谢谢
苹果手机设置好用的快捷指令,3分钟学会
金西梅是什么水果 金西梅是染色的吗
ipad插画 可爱卡通烧烤procreate绘画教程初学者绘画过程板绘美食
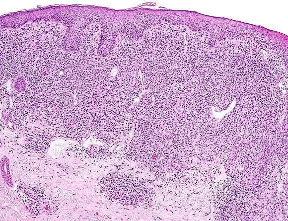
皮肤临床病理08蕈样霉菌病
预防肺结核,从我做起手抄报 在姐妹那里各种搬运,手残党老母亲一枚,勿
至少圈内环境好了一点……当飞羽真解锁龙纹骑士以后,伦太郎的狮子王
蝙蝠神卡玛佐兹浅试一下
当父母和孩子之间建立了有效的沟通渠道时,家庭氛围会变得更加轻松