相关图片
我们又分为息肉状,结节状,囊状,溃疡状,乳头状,菜花状,绒毛状,分叶状
分形蕨( fractal fern)
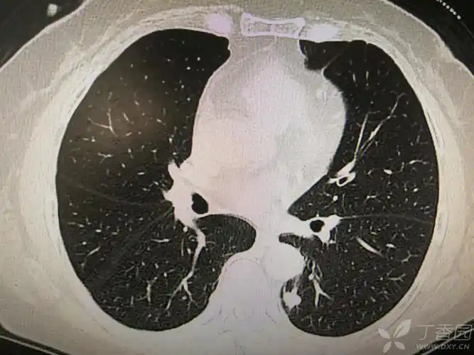
左下肺背段见分叶状结节影,会是什么?
学ppt 检验细胞形态学学习 中性分叶核粒细胞 胞体呈圆形,胞核分叶状
主体位于皮质及皮质下,边缘有大小不一的分叶,这点符合呈分叶状的软骨
数学家曼德尔布罗与漂亮的分形几何学
对称分形图案.集合-树的树叶.绿色
穿蓝色衣服的神话般的分形图案.collectiont-树的树叶.co
连线图集令人称奇的自然分形图案
under cc by-sa科学家之所以想要用分形来理解人类意识的复杂性,是
分形高清壁纸高清原图查看
第五章 肿瘤 (tumor,neoplasm)