关灯后玩手机有人患黄斑病变有人患青光眼医生劝你赶紧戒掉
黄斑变性图片
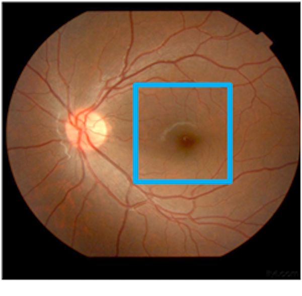
黄斑病变
黄斑明显改善
黄斑病变已经趋于年轻化
叶黄素是防止黄斑病变致老年失明的视黄金
老年性黄斑变性
黄斑病变原因 深近视引起的黄斑病变
老年常见黄斑区病变的临床表现及诊治
黄斑变性比白内障还棘手,可以这样自我检测,早期发现,早治疗
趣味眼病测试第二弹自测黄斑病变一张图搞定
急性特发性黄斑病变一例
"夫妻本是同林鸟",但没办法,孙俪这次也无法救邓超
闺蜜头像,认识你之后越来越沙雕
关键词:结婚照艺术字非你莫属结婚婚庆婚庆视频画册图精灵为您提供
却用她平凡而伟大一生的言行,告诉我们接下来的路如何去走.
黄芪甘肃整根无硫500克包邮特级野生条北芪可黄芪
孙菲菲1981年2月21日汉族内地女演员出生于陕西省西安市毕业于北京
安慰失去亲人的话.doc
cctv1综合频道呼号19992001倒放
北京大兴国际机场
深蓝色 纯色背景高清壁纸 可设置聊天背景图… _ 纯色背景[图片专辑]
电视剧归去来##许龄月归去来# 明天七夕了.
像素画第66幅可爱的小企鹅网格本