病态美学病理切片影像展
心脏瓣膜粘液样变性,光镜下
病理学实验教学组织切片示教图选ppt
肾动脉玻璃样变性
肝颗粒变性2
二,脂肪变性
结缔组织,透明变性活检光镜下
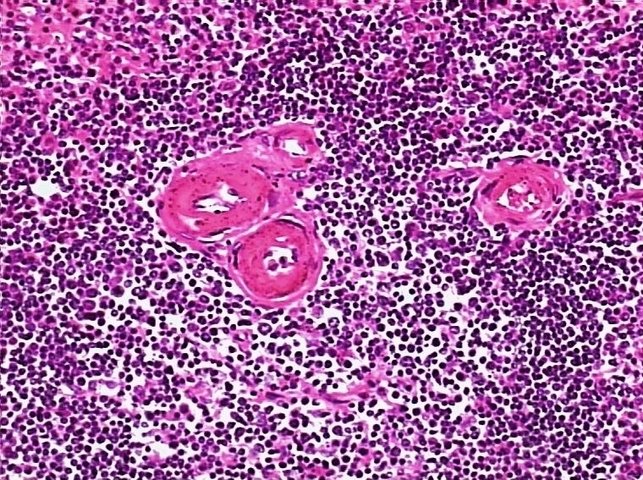
脾被膜玻璃样变显微切片图片
病理学实验切片和病变特点期末总结
老年肝豆状核变性患者1例
病理学实验复习切片答案ppt
生物病理显微镜切片脾透明变性标本白底微距摄影
抖音上超火的女性个性签名句子
陈浩南和小结巴"再续前缘",25年后再同框,你看几分像从前?
今日份—绘画活动《八爪鱼》
冰岛——地图
韩国明星|女演员_网易订阅
文字毕业季伤感文字控壁纸3
打吊针图片真实图片但每个人的又有所不同但结构
【猫神cat】cat是真的厉害, c麻了
舞龙 火龙 传统文化图片
壁纸‖毛茸茸小怪兽保护你
犹太教会堂,犹太教,柏林,建筑物门,著名景点
米潜水俱乐部 #潜水 #海洋馆 #自由潜水 #南宁海洋馆 #美人鱼潜