足副舟骨问题家长们要警惕!
足副舟骨ppt
警惕副舟骨问题!
11岁男孩副舟骨疼痛,足垫穿戴2个月对比 男孩初检时的片子很明显的副
当心副舟骨疼痛
副舟骨器 儿童扁平足医定制专鞋垫足弓脚垫足副舟骨 提示建议拍2双
儿童足部副舟骨的治疗_先天性足畸形_先天性足畸形治疗方式 - 好大夫
儿童副舟骨_先天性足畸形_介绍_症状表现_治疗方式 - 好大夫在线
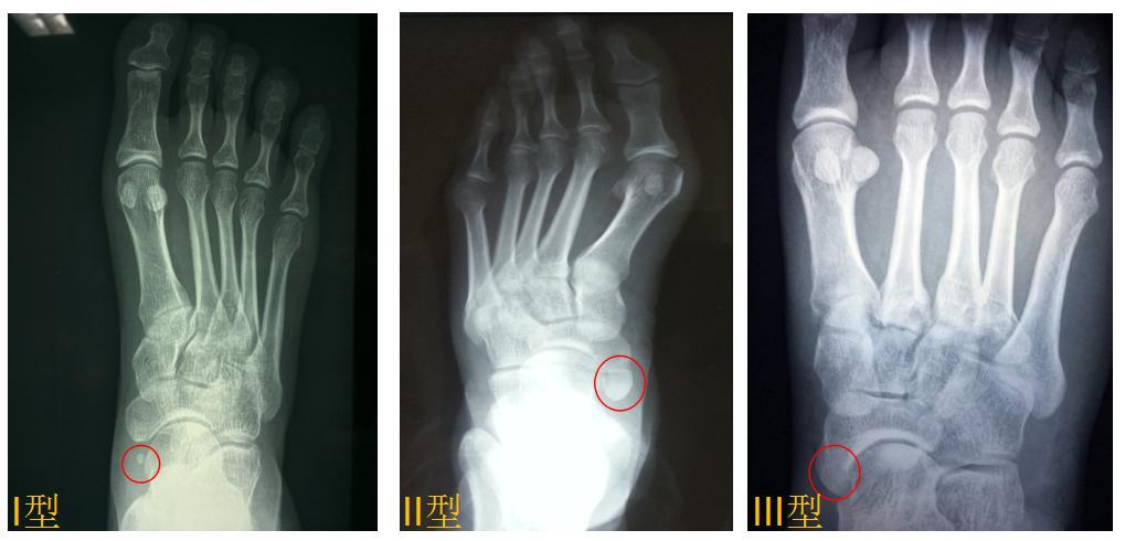
副足舟骨别忽略分型要牢记
副舟骨记录贴
足副舟骨疼痛综合症 (原创)
古风人物插画,q版#汉服#小可爱系列.
国色天香——张焕贤牡丹花摄影作品选
宇宙星空唯美壁纸
临摹画—兵马俑
茅台人民大会堂
成都简谱 - 曲谱歌词网
11张大黄蜂变形金刚钢铁侠机器人卡通涂色图片-红豆饭小学生简笔画
名家画钟馗,你最喜欢哪一个?
路飞三兄弟,看上哪个抱走就行
卷轴海报素材-卷轴海报图片-卷轴海报设计模板-第4页-觅知网
这颗水果可真黄
大沈阳说如东餐饮文化系列清朝宫廷菜真的是那么奢华吗