戚容_天官赐福戚容指绘绘画作品
不说话的戚容还是很可爱的ma
收集 点赞 评论 #天官赐福# 青灯夜游 戚容~ 绘师:偃清之 4 28
关注打开新页热度(9833)评论(191)推荐天官赐福戚容各位镜小王妃,动
戚容.
天官赐福:绿色公子不过是个一直渴望被关注的人罢了
有没有天官赐福中戚容的照片
宠文:《侯府真千金是戏精》戏精女主装白莲,撕绿茶,大快人心!
天官赐福花城谢怜,戚容
天官赐福戚容
原创当天官赐福遇上厚涂画风花城气质多变戚容神情很悲伤
清平乐赵徽柔任敏
动漫绘画学习动漫漫画人物五官嘴巴鼻子耳朵画法集
果汁玫瑰
脊柱矫正器
男孩动图表情包 - 男孩动图微信表情包 - 男孩动图qq表情包 - 发表情
">易智言 /a>编导, a target="_blank" href="/item/桂纶镁/1414663"
"纯元皇后"蒋勤勤的感情史:历尽千帆才与"胖橘"陈建斌长相守
宋柴窑天青釉棱形瓶
风铃草的花语是温柔的爱,感恩,嫉妒,忠诚,正义等.
《送别》口琴的简谱.
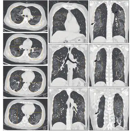
图 1 新型冠状病毒肺炎患者(女性,52岁)发病第8天的胸部ct肺
健身房装饰贴纸背景墙励志标语体育运动馆海报3d立体创意墙面网红