我三岁儿子,腺样体肥大,拍了ct,请有经验的医生和未来的好大夫,帮我
腺样体增大的x线测量与诊断
腺样体肥大最好保守治疗为什么这么说呢
儿童腺样体肥大了,并不是人人立马手术
各位老师好,我是干骨科的,小儿今年6岁患腺样体肥大2年多,平时睡觉还
科学检查决定腺样体肥大(儿童睡眠呼吸暂停综合征)是否手术 - 好大夫
腺样体肥大的x线诊断
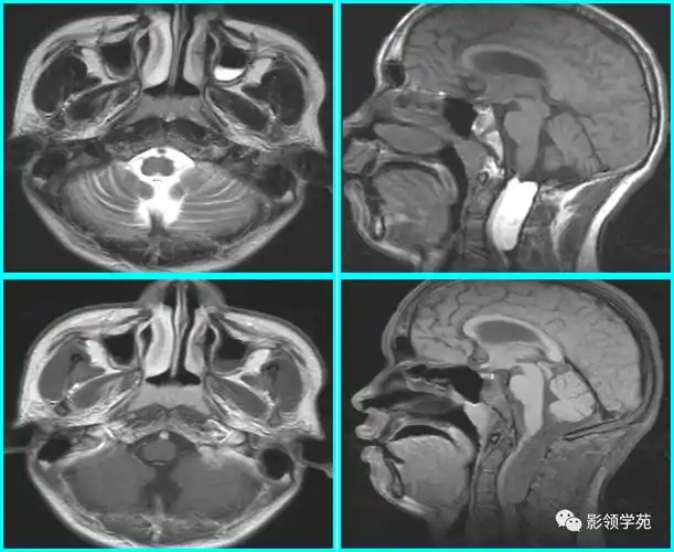
腺样体肥大,肥大的腺样体阻塞90%以上气道
请大家帮忙分析一下腺样体肥大的影像表现,有没有正常的图片 [病例帖]
重度腺样体肥大一例
儿童腺样体肥大影像表现及诊断标准
小儿腺样体肥大_小儿腺样体肥大检查 - 好大夫在线
心碎了的图片心碎了伤感
沙漠自然风光高清桌面壁纸图片
画师akagmiop的海贼王漫画上色作品!红发太帅了!#海贼王##动漫
说好喝茅台就开茅台
70年代的农村老照片,每个70后都是满满的回忆
史上最恐怖的音乐
钩玫瑰网格罩衫
公园长椅拍照告别尴尬轻松拍出氛围感60
曾国藩画像
四种面相的男人天生穷苦命,没啥出息,破财添灾给人添堵
一种适用于短距离运输的多转向平板车
死或生6 排到只排名第一的u 心_哔哩哔哩 (゜-゜)つロ 干杯~-bilibili