肺部恶性结节在体内的演化
图文教你看懂恶性肺结节的ct表现
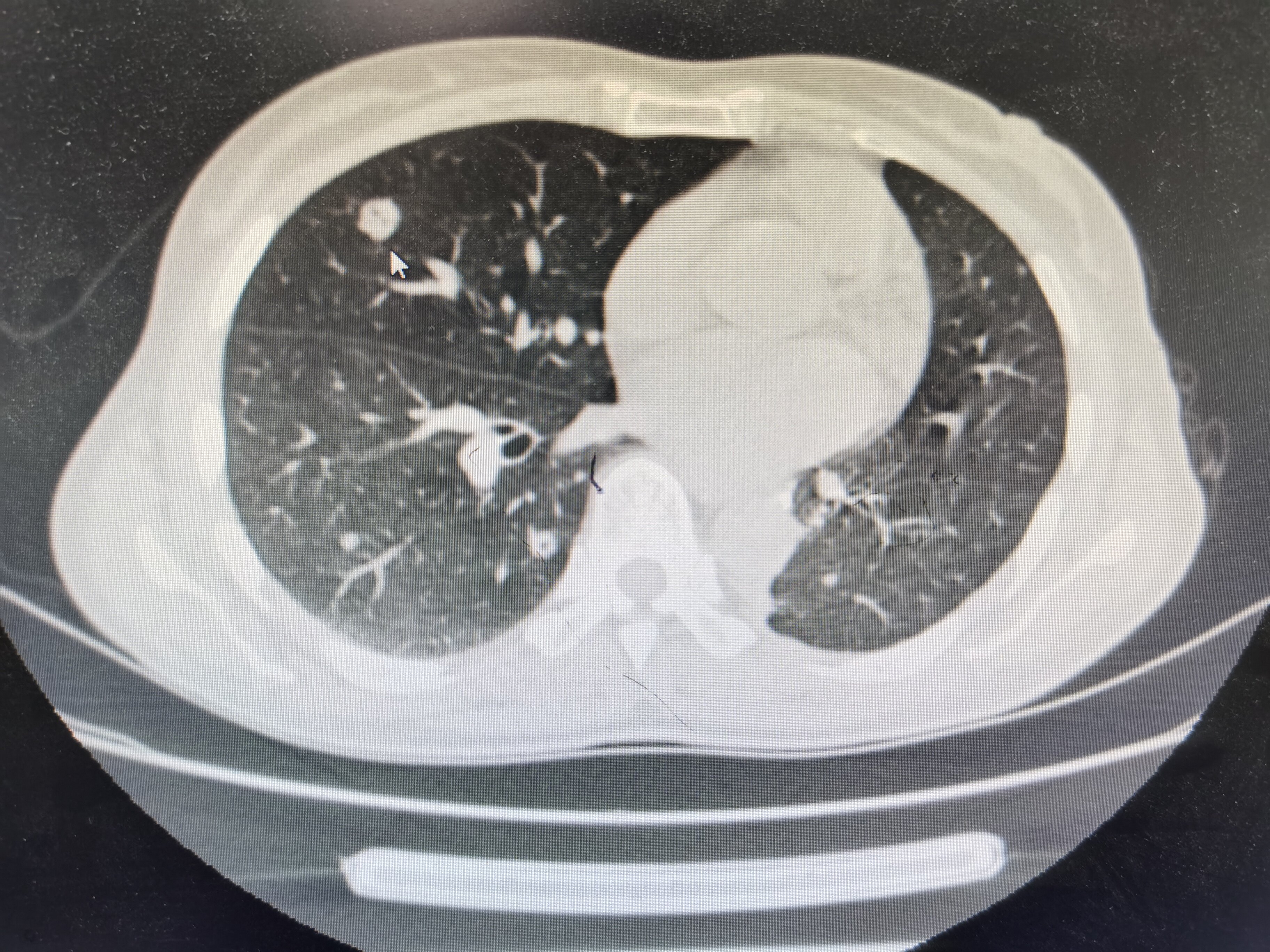
直径>20mm的恶性概率达到64%~82%肺结节按照密度,可以分为"磨玻璃
查出肺结节,哪3种需要动手术?医生用ct片举例说明
黑白风景装饰画黑白风景装饰画图片大全
测试结果分为父系的迁徙路线和母系路线.
cn206781542u_一种带有缓速器的混合动力牵引车制动系统有效
儿童教育益智游戏
农舍茅屋一人家摄于古道湾公园
协会网站建设海报推荐文案_(协会网站建设海报推荐文案范文)
潘禹彤朱亚文在一起9年还是分手了如今各自都过得怎么样了
气球飞上天永远都要在一起 带我看世界上最迷你的大象游行华丽的马戏
求好看的黑白动漫壁纸
性感可爱的动漫少女图片桌面壁纸第一辑
搞笑沙雕女生头像动漫
这组纯色壁纸,将克莱因蓝的魅力展现得淋漓尽致,简洁而不失高级感,为