唇系带修整
唇系带来咯
">"> 这种情况就需要手术修整唇系带!
唇舌系带修整术
唇系带 - 好大夫在线
一例唇系带矫正术
激光修整唇系带关闭前牙间隙
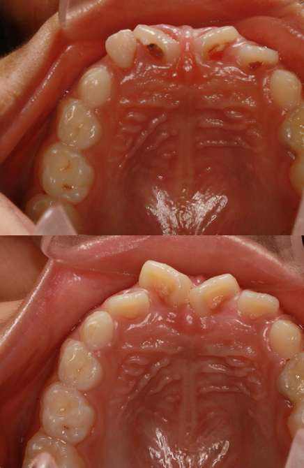
儿童早期矫治之上唇系带二
上唇系带过短修复术可以改善人中短上唇厚还外翻上翘
唇系带延长术
头像图片2021最火爆女可爱卡通卡通可爱女生头像
exo团员黄子韬
勤字楷书写法_勤楷书怎么写好看_勤书法图片_词典网
刘诗诗星钻白裙优雅写真桌面壁纸
销控板全线飘红
能天使高达壁纸高清图片>>惊异能天使高达>>mg能天使进度
美味的蓝莓奶昔
积木拼装哥斯拉之怪兽之王哥斯拉拼装兼容乐高
《公主小妹》片尾曲〈不想懂得〉张韶涵/尤克里里 吉他弹唱谱
赌神争霸活动海报设计矢量素材
动漫萌宠四——皮卡丘《大侦探皮卡丘》《宝可梦》喜欢毛绒绒的皮
食品添加剂图标照片