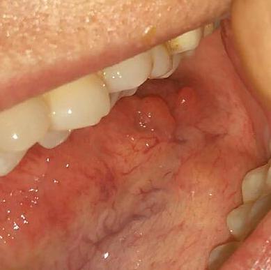
发现舌根部有许多这样的大疙瘩好久了看起来好像尖锐湿疣啊是
舌头里面,舌根处长了很多小疙瘩,是怎么回事?
舌根上张了很多硬的颗粒 是什么啊 严重么
舌头根部这些疙瘩是正常的嘛?
舌头根部和舌头两侧长东西,舌头根部有好多个跟黄豆一样大小的肉粒.
请哪位专家帮我看看我爱人舌头根上长了很多很硬的疙瘩,是什么病!
舌头根部靠近咽喉部分有红疙瘩
【求助】舌根处几个丘疹为何?
问:舌根部发现很多泡,先前的医院讲是疱疹,不放心再
我妈妈舌根下面长了一个白色的疙瘩不知道怎么回事,但是特别疼,不动
【图】舌头根部有疙瘩图片 3招让你缓解症状
舌系带长了个水泡,我图中标记的那块肉吃饭的时候
古风海报
大幅面全开中国竖版地图问世2
辟邪符咒图片手机壁纸 - 搜狗图片搜索
乌干达花金龟 极光蓝紫色大个体
猪爸爸猪妈妈情侣头像
出现的频率少一点 说不定才会被想念#性感小野猫 #谁还不是个 - 抖音
我很傻的微信图片点击鼠标右键下载
灵芝图片
简单的手工折纸大雨伞,几张小纸几分钟就能折出漂亮的伞
大家来认猫-田园猫大美女玳瑁猫.玳瑁是一种还贵,它的颜色有黑 - 抖音
广州天河高品质精品美短加白美短高白美短虎斑可预定
离婚10年后,再看车晓与前夫现状.