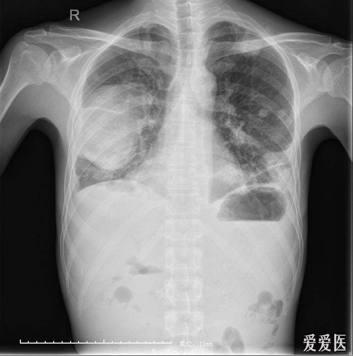
【影像读片】肺脓肿合并脓胸?
【分享】胸部影像学 [ 三] 肺脓肿
左侧脓胸病例分享
肺脓肿
肺脓肿ppt
【影像读片】是肺脓肿?-有病理 [病例帖]
肺脓肿与普通肺炎相鉴别
广州原点
迷你世界所有女生头像
假发女中长发蓬松齐刘海全头套自然新式发套锁骨发网红羊毛卷短发 你
莎莉娜太可爱啦,用来做手机壁纸最好了!
穿衬衫没特色又单调教你4种敲实用的丝巾衬衫系法简单随性又洋气抖音
加勒比海盗hes a pirate吉他谱俄罗斯指弹大叔igor 电子乐谱
手部脱屑皲裂,耳部先天病变
一品皖南鲜| 呆子鱼山溪现捕净膛野生小河鱼 塘鳢鱼 沙塘鳢 土步
花田错钢琴谱-王力宏4
mini jcw 2020款 2.0t john cooper works图片
2021年徒步玉龙雪山-穿越经典虎跳峡徒步 – 美自驾
网友捡了只"龅牙"猫,小尖牙怎么收都收不回,也忒可爱了吧?