正常人的扁桃体图片喉咙里有细细的像血管一样的正常吗?
又开始嗓子疼了?
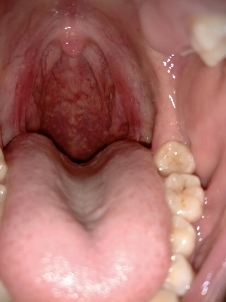
咽部黄色滤泡,是咽喉炎吗?总感觉咽部很累的样子,说话感觉特别吃力.
喉咙里起泡,还一个劲的咳嗽
扁桃体炎
喉咙里面是不是长了什么东西,长期有痰,不咳嗽.严重吗?
扁桃体发炎自愈要几天 嗓子咽唾沫疼像刀割一样
请问我孩子喉咙怎么了喉咙俩边红红肿肿的照片俩边有俩块红
最近有点上火,嗓子干,看见左上鄂好像有个小疙瘩,咽喉正常么
喉咙不舒服而且咳嗽还感冒着怎样吃药
六周岁 最近一直嗓子不舒服嗯嗯的 大夫说扁桃体大要手术我拍了照片
喉咙有梗塞感是什么原因有一点点恶心
90年代港台女星颜值排名,前三名无可争议,李若彤只能排第十名
布偶猫丨蓝双色
日落时分,一个人站在海滩上图片
好汉歌
cmyk色谱图片
昆明-故乡音乐节 大合照.#棱镜乐队 #朴树 #李润祺 #尧 - 抖音
唯美图片意境黑底带字的小清新 -意境图片-唯美图片大全
立邦伦敦雾
《everybody hurts》尤克里里弹唱谱
itzy黄礼志
【今日关注】大风呼呼吹,气温嗖嗖降,气温回归个位数
四代火影秽土转生