早期肺癌ct图
refer肺腺癌iii期的治疗方案-肺癌帮
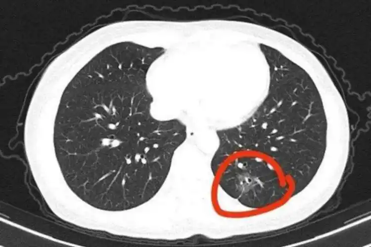
【读片】肺癌? [病例帖]
肺结节肺癌几问几答
哥哥肺癌去世弟弟又得晚期肺癌这个家庭为何如此不幸预防肺癌医生有责
这个肺部肿瘤藏得深,胸片分分钟漏诊,追踪下来该来的都来了 [病例帖]
肺结核? [病例帖]
世界肺癌日:一起关注如何发现早期肺癌
最早期 !--haodf:8:feiai-->肺癌 !--haodf:/8:feiai-->.webp.jpg
胸部x射线 ct增强片 帮帮忙看一下 是肺癌吗?
【读片】右肺上叶中央型肺癌,前纵隔囊性密度影是什么结构 [病例帖]
「哪吒之魔童降世」哪吒cos,有内味了吗?
头像小姐姐女生头像绘画
2020第二弹,手写励志歌单,加油!
城市的孩子往往得到更好的教育,而一些贫困山区的孩子只能通过每两年
求图纹满背,要现代风,类似于臂环那种图,不要神鬼佛,动物的,谢谢
窦唯个人资料50岁窦唯近况曝光
孙耀威
云南记忆(上)
在qq聊天工具中,黑名单是一种功能,它允许用户将某些特定的好友从自己
哪款平胸内衣销量好_2023年平胸内衣热销榜 - 十大牌子网
宣璐背后的故事
宫崎骏手写信致敬中国观众,为什么说千与千寻是他最好的动漫?