请各位老师确诊一下门牙上的白斑
门牙牙缝怎么不伤牙的填好
问:门牙中间有缝怎么矫正?
门牙突出要怎么矫正
门牙太大是一种什么体验?
宝妈看这里孩子门牙缝隙大的原因和补救办法都在这里了
请专业人士帮我看看大门牙两边牙齿是乳牙还是换过的新牙啊?
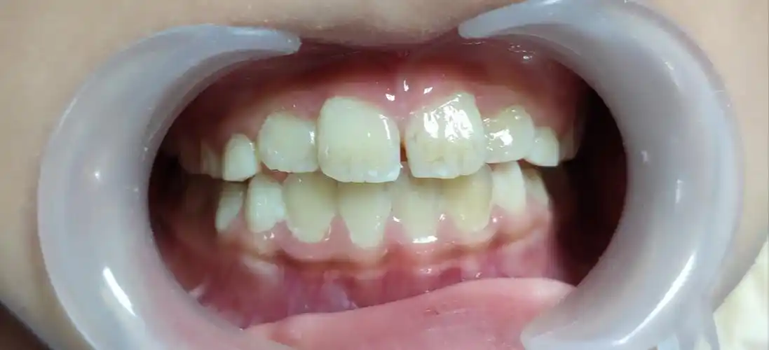
这个门牙缝隙算大吗
看看孩子的门牙是否正常?
我门牙有大缝隙不知道怎么处理好? - 知乎
孩子门牙牙缝大?会不会是多生牙_多生牙_介绍_症状表现 - 好大夫在线
门牙我有一颗是龅牙,如果要矫正一般要多少
溯-reverse-c调初学版钢琴谱-虫虫钢琴
green 绿色的
手缝锁边针法_怎样用手针锁边
牛年壁纸快换上2021牛气冲天运气好到爆
为抢占殡葬市场台湾从业者雇凶对同行连开10枪
for forever吉他谱_华晨宇_g调弹唱吉他谱51%原版 - 吉他世界
孝义旧城火烧简笔画
微信头像此号停用图
孙耀威
国家标准文件02j401钢梯图集文件如下
翻到了以前画的博丽灵梦
喔十字架赞美之泉歌谱