脚踝左腓骨远端骨折月记
左脚踝两侧骨折恢复记录
右外踝腓骨远端骨折康复记录
右脚踝扭伤,腓骨骨折,关节移位.请看x光片,谢谢.
脚踝腓骨撕脱性骨折多久可以下地走路
青少年胫腓骨远端骨折的手术治疗 - 好大夫在线
患者19年后,拍片显示:右胫腓骨远端骨折端己已经消失,髓腔
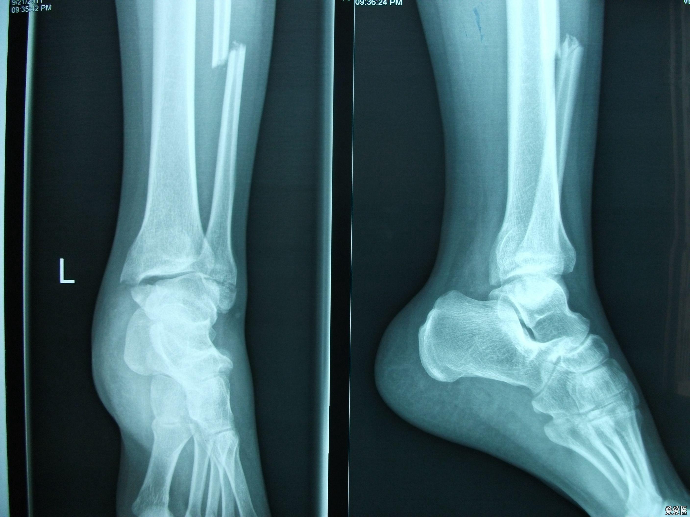
左踝关节肿胀 辅助检查:x线片提示:左踝关节骨折,左侧腓骨骨折 临床
左脚踝撕脱性骨折
踝关节骨折一例
三例胫腓骨远端骨折
消防蜀黍这个节我们不过安全不能开玩笑
我身高172找身高157的男朋友要最萌身高差身高160以上的不要联系了
场景主题简笔画画
男生微信头像_适合男士的微信头像_第11页_qq头像_我要个性网
早上好朋友,唯美的夏天早安图片带字,漂亮好看的美女早上好问候语图片
9月22日,在最新播出的《天天向上》中,李沁穿上一身简单的白色戏服
一个人的背影凄凉图片2019男生背影头像图片帅气,爱上你的背影了男生
林下_空间_自然_树阵
老公出轨了应该离婚还是挽回?这样做是对的吗?
财经 正文 尼尔森最新报告显示:良好就业预期带动消费者信心上涨
爱秀恩爱的情侣
日语的各种笑都要怎么说