梨形心怎么回事 梨形心也叫做靴形心,是指心脏疾病而导致心脏形状
梨的心窗体,梨形心.背景非同寻常的水果
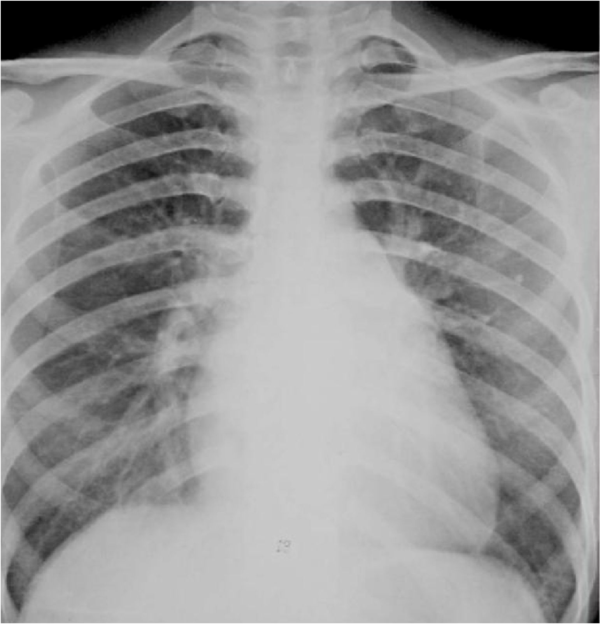
图2 胸片正位:梨形胸廓,心影增大
梨形心,靴形心,烧瓶心 :这也样看平片,想不会都难
【求助】普大型心,梨形心,靴形心的片子究竟怎么看啊
临床执业医师实践技能考试心脏增大诊断公式
执业医师第三站真题!(上篇)
5心脏瓣膜病ppt
三个梨图片
用木制的桌子上的心成熟梨子特写
看图(扩张型心肌病,全心衰-心肌无力了)要么是心脏本身增大(心包积液
召丁甲神将符咒的画法和用法功用:六丁六甲为守护之将,开坛时必先召到
三屏伤感文字
汪小敏九月时尚大片上线 可甜可盐魅力流露
九种领带打法超全图解版本你学会了吗
老公……想抱抱你
大花天竺葵
pokerstars中文网
张馨予饰演的苏妲己媚骨天成
关婷娜老公关婷娜老公杨航个人资料照片
【安娜丽丝】冬天里的hello/how are you (鹿乃音源)
情侣可爱情头一对超可爱图片 最新微信2023卡通情侣头像大全
王凯黑色系禁欲写真壁纸